MENU

suburb

  • Loading ...
  • Loading ...

Tamworth Orthocare

Tamworth, NSW

Address: 1 Dowe St Cnr Bourke St, Tamworth NSW 2340

About Tamworth Orthocare

Gold Coast Dentists welcomes Tamworth Orthocare in Tamworth, for all their latest dental treatments and techniques, given gently by their caring team of dentists.

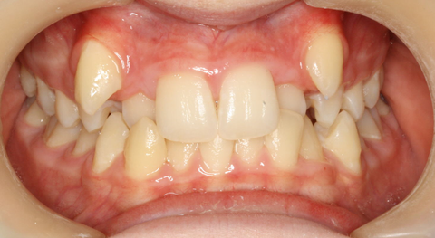
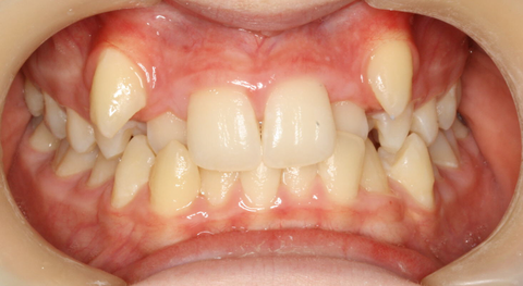
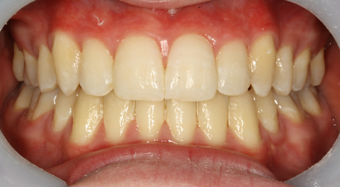
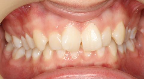
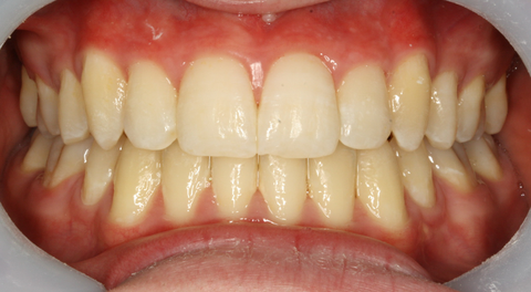
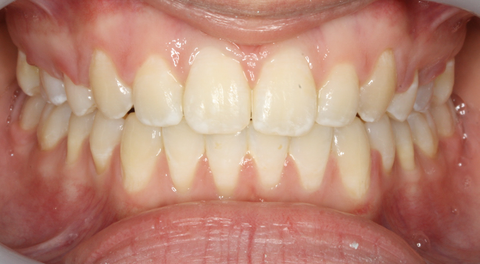
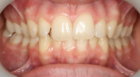
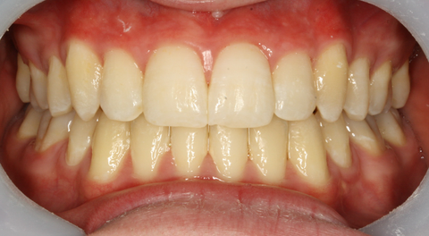
If you suffer from crowded, unevenly spaced or protruding teeth, orthodontic treatment might be the right choice for you. Did you know that teeth that are fully aligned are less likely to decay? Properly aligned teeth are easier to clean and are less likely to sustain uneven wear. Dr Elbert Read More...Liew is a qualified Tamworth orthodontist, providing expert dental care to the city area and surrounding regions. Having obtained his Masters in Dental Science Dr Liew and his team offer professional orthodontic services. On your first visit to Tamworth Ortho Care (formerly Dr Elbert Liew?Orthodontist), we will consult with you and carry out an assessment of your teeth. We take the time to discuss the proposed treatment plan that best suits your needs. If you are ready to proceed, we then work to straighten mal-aligned teeth, offering services such as bite correction and crooked teeth correction. Invisalign products are available at our location, as are temporary anchorage devices and standard fixed and removable retainers Dr Elbert Liew and his staff manage your queries and keep you up to date with your progress throughout the treatment process. We offer both metal and porcelain brackets, as well as functional appliances for encouraging forward growth. Our practice also specialises in lingual braces, which are suited to those clients who wish to hide the fact that they are wearing braces. Our clinic can help you with the cost of orthodontic work, with monthly payment plans available. You do not require a referral to see us, so if you are interested in improving the appearance of your teeth, please make an appointment today for an assessment. We treat patients from across Tamworth and surrounding areas including Manilla, Boggabri and Narrabri. ^ Less

Facebook

Booking.com

Tamworth Orthocare

Gold Coast Dentists welcomes Tamworth Orthocare in Tamworth Looking for a dentist, you'll get the latest dental treatments and techniques, given gently by our caring team of dentists. Our facility is bright and clean with fresh equipment held to the highest safety standards.

Is Tamworth Orthocare in Tamworth your business on Gold Coast Dentists, please claim your listing and subscribe to update your contact details and receive your phone calls and emails from your clients.

Tamworth Orthocare

Click the below to email this business

Email Business

Thank you!

Your enquiry has been submitted

Please fill out the form below to send an enquiry to this business

Gold Coast Dentists displayed beautifully on multiple devices

Unlock the Full Potential of Your Business with
Gold Coast Dentists

  • Rectify inaccuracies in your listing via Gold Coast Dentists
  • Turn on the Call Now Button to directly receive customer calls.
  • Enable the Visit Website Button to drive a continuous flow of traffic to your site.
  • Enable Email Button to effortlessly gather your clients' email addresses.
Claiming or adding your listing not only grants you access to missed call alerts and client emails via Gold Coast Dentists but also connects you with over 500 partner sites. This strategic move amplifies your client engagement and boosts your visibility on Google, social media, and within the QLD Tourism ecosystem

copyright © 2026 Gold Coast Dentists.   All rights reserved.

A B C D E F G H I J K L M N O P Q R S T U V W X Y Z