MENU

suburb

  • Loading ...
  • Loading ...

Smile Craft Dental

Wingham, NSW

Address: Suite 1/ 101 Isabella St, Wingham NSW 2429

About Smile Craft Dental

Gold Coast Dentists welcomes Smile Craft Dental in Wingham, for all their latest dental treatments and techniques, given gently by their caring team of dentists.

DENTIST - Dr Pooja Lama We are here for all your dental care needs. We will help you maintain your natural teeth for life.

General Dentistry starts with regular checkup & teeth cleaning to keep you in optimum oral health. Preventive measures help reducing tooth decay, gum disease and tooth wear which eventually contribute to long term dental function and aesthetics. Regular dental check-ups keep you in the best possible dental health as any problems can be detected & treated early and effectively.

The latest Digital X-ray techniques used in our office mean a large reduction in radiation compared with conventional X-rays.

Intra-oral cameras and audiovisual technology enable you to understand and learn about your teeth and their treatment.

Services

General Dentistry.

Root Canal Treatment.

Cosmetic Dentistry.

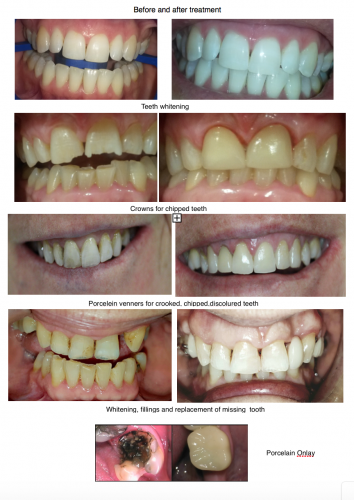
Porcelain Crowns & Veneers.

Periodontal treatment.

Full & Partial dentures (acrylic & metal).

We endeavour to represent the most up to date and advanced treatments in dental care for maximum effectiveness and success in all aspects of your dental health. Our dental tools and equipment include a range of high-tech components, providing you with the best in progressive technology, for your optimum oral care.

It's easy to apply for Pay off payment plan. Please ask the front desk for details.

Facebook

Booking.com

Smile Craft Dental

Gold Coast Dentists welcomes Smile Craft Dental in Wingham Looking for a dentist, you'll get the latest dental treatments and techniques, given gently by our caring team of dentists. Our facility is bright and clean with fresh equipment held to the highest safety standards.

Is Smile Craft Dental in Wingham your business on Gold Coast Dentists, please claim your listing and subscribe to update your contact details and receive your phone calls and emails from your clients.

Smile Craft Dental

Click the below to email this business

Email Business

Thank you!

Your enquiry has been submitted

Please fill out the form below to send an enquiry to this business

Gold Coast Dentists displayed beautifully on multiple devices

Unlock the Full Potential of Your Business with
Gold Coast Dentists

  • Rectify inaccuracies in your listing via Gold Coast Dentists
  • Turn on the Call Now Button to directly receive customer calls.
  • Enable the Visit Website Button to drive a continuous flow of traffic to your site.
  • Enable Email Button to effortlessly gather your clients' email addresses.
Claiming or adding your listing not only grants you access to missed call alerts and client emails via Gold Coast Dentists but also connects you with over 500 partner sites. This strategic move amplifies your client engagement and boosts your visibility on Google, social media, and within the QLD Tourism ecosystem

copyright © 2026 Gold Coast Dentists.   All rights reserved.

A B C D E F G H I J K L M N O P Q R S T U V W X Y Z